miércoles, 3 de junio de 2020

EMBARAZO EN CICATRIZ DE CESAREA


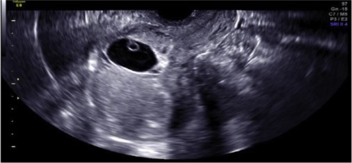
El embarazo en la cicatriz de cesárea es una complicación en la cual un embarazo temprano se implanta en la cicatriz de un parto por cesárea anterior. Esta condición presenta un riesgo sustancial de morbilidad materna severa debido a los desafíos para asegurar un diagnóstico rápido, así como la incertidumbre con respecto al tratamiento óptimo una vez identificado.

La ecografía es la modalidad de imagen primaria para el diagnóstico de embarazo por cicatriz cesárea, aunque una determinación correcta y oportuna puede ser difícil. Se han descrito terapias quirúrgicas, médicas y mínimamente invasivas para el manejo del embarazo por cicatrización por cesárea, pero no se conoce el tratamiento óptimo. Las mujeres que rechazan el tratamiento de un embarazo en cicatriz de cesárea deben recibir asesoramiento sobre el riesgo de morbilidad severa.

Las siguientes son recomendaciones de la Sociedad para la Medicina Materno-Fetal: Recomendamos contra el manejo expectante del embarazo por cicatriz cesárea (GRADO 1B); sugerimos resección quirúrgica (con abordajes transvaginales o laparoscópicos cuando sea posible) o aspiración por vacío guiada por ultrasonido para el tratamiento quirúrgico del embarazo con cicatriz por cesárea y evitar solo el legrado agudo (GRADO 2C); Sugerimos metotrexato intragestacional para el tratamiento médico del embarazo por cicatrización por cesárea, con o sin otras modalidades de tratamiento (GRADO 2C); recomendamos que el metotrexato sistémico solo no se use para tratar el embarazo por cicatrización por cesárea (GRADO 1C); en mujeres que eligen un manejo expectante y la continuación de un embarazo por cicatriz cesárea, recomendamos repetir el parto por cesárea entre 34 0/7 y 35 6/7 semanas de gestación (GRADO 1C); Recomendamos que las mujeres con un embarazo con cicatrices por cesárea sean informadas de los riesgos de otro embarazo y se les aconseje sobre métodos anticonceptivos efectivos, incluida la anticoncepción reversible de acción prolongada y la anticoncepción permanente (GRADO 1C).

No hay comentarios: